インプラントとは
インプラント治療は、事故やケガ、歯周病などで歯を失ってしまった部分に、人工の歯根を埋めて、その上に人工の歯を装着する治療法です。
ブリッジや入れ歯に比べて、他の歯に負担をかけることなく天然の歯と同じように強くて美しい歯を取り戻せます。

無痛のインプラント治療とは?
インプラント治療は骨に人工歯根を埋めるため、痛いと思われる方もいらっしゃいます。
当院では、無痛でインプラント治療を行っています。
そのポイントは麻酔注射にあります。
インプラントでは痛みを抑えるために麻酔を使います。
注射は痛いものと思われがちですが、当院では多くの場合、麻酔注射も無痛で行うため、患者様が注射したことに気づきません。そして、麻酔が効いている間に治療が終わるので痛みを感じることもありません。
さらに、どうしても不安な方には全身麻酔(静脈内鎮静法)を行い、より不安をやわらげて治療を行うことも可能です。

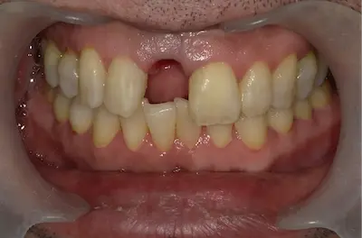
※左右に動かすとbefore/afterを確認できます。
男性
前歯が割れてしまい抜歯が必要となりました。
前歯を復活させるのにブリッジとインプラントをご提案しましたが、丈夫な歯は削りたくないというご要望があったためインプラントにて施術を行いました。
こちらの患者様は抜けた歯の歯茎の形が左右非対称で、このままインプラントで歯を作ると歯並びが歪んで見えてしまいます。
そのため、自然な見た目となるように歯茎の形を整える施術を行い、インプラントを埋入しました。
また、歯の色や形も自然に見えるように調整しました。
治療部位:前歯1本
治療費用:550,000円(税込)
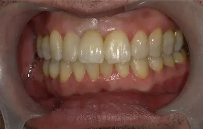
※左右に動かすとbefore/afterを確認できます。
男性
右下の奥歯がずっとない状態で過ごされていました。嚙み合わせのバランスが悪く左側の歯の調子も悪くなってきたこと、
また、歯がないために食べられないものもあり、噛み合わせを整えるためにインプラント治療を決断されました。
痛みに弱い患者様だったため、静脈内鎮静法にて治療を行いました。
治療後左右の嚙み合わせのバランスが整い、食べ物も制限することなく好きなものが食べれるようになりました。
治療部位:奥歯3本
治療費用:495,000円×=1,485,000円(税込)
こんな方におすすめ
メリット
-
- ブリッジや入れ歯に比べて見た目が美しい
- 天然の歯と同じくらい噛める
- 周りの歯や歯ぐきに影響を与えない
デメリット
-
- 手術が必要
- 治療期間が長い
- 顎の骨の状態によっては、治療が受けられない可能性がある
- 保険が適応されないため、治療費が比較的高額になる
当院の診察風景のご紹介
インプラントの料金
-
- 前 歯 1本550,000円(税込)
- 前歯以外 1本495,000円(税込)
- 保証期間 永久保証(治療後5年は100%保証)
デンタルローンのご利用で月4,900円からの分割払いもできます
- 前 歯 1本550,000円(税込)

インプラント治療の流れ
診断と治療計画
カウンセリングをはじめレントゲン、口腔内写真撮影などによる充分な診断の後、インプラント治療に関する方針・計画の説明を受けます。症例によっては、より詳しい状態を把握するために、後日CTをおとりいただく場合があります。 CT撮影:メディカルスキャニング
インプラント治療前の処置
他の歯に虫歯があったり歯周病にかかっていると、すぐにインプラント治療はできません。歯周病治療や虫歯治療など、残存歯の治療を行います。
インプラントの埋込手術
インプラント(フィクスチャー)を局所麻酔で骨のなかに埋め込みます。局所麻酔のため痛みはほとんどありません。当院では上部構造(人工の歯)と歯ぐきの境目がより審美的に仕上がる理由から、二回法を選択しています。
インプラントと骨の結合安定期間
埋入したインプラントと骨がしっかりと結合するまで、骨の状態や治療部位によって異なりますが、約6~24週間(三ヶ月から六ヶ月)ほど待ちます。埋入したインプラントが骨と結合するまで安静期間を置きます。
安定期間後の二次処置
埋まっているインプラントの頭を出し、人工の歯を接続するアバットメントという土台を取り付けます。
上部構造(人工歯)の型取り、装着
上部構造(人工歯)の型を取り、歯並びや色をチェックしながら人工歯をつくります。人工歯が完成したら、装着。
治療後の定期チェック
治療が終った後は、まず一週間後に定期検査をします。その後三ヶ月に一回のペースで定期的な検査やメンテナンスを行います。
インプラントのQ&A
- Qインプラントの治療期間はどれくらいですか?
- A
目安として3~6ヶ月程度です。そして、インプラントの手術自体は1~2時間で終了し、入院の必要はありません。
- Q面倒なアフターケアはありますか?
- A
特別なアフターケアの必要はありませんが、歯磨き等ご自身でセルフケアを行っていただく必要があります。適切なケアの方法をご指導させていただきます。
- Q歯を失った場合、インプラント以外の治療方法はありますか?
- A
インプラント以外の治療方法としてブリッジや入れ歯があります。当院ではインプラント以外の治療方法も説明を行い、患者様のご意向に沿って治療を決定しています。
ストローマンインプラントシステム





